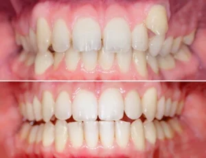
Crooked teeth on the bottom row can affect more than just how your smile looks. Many people notice their lower teeth shifting over time, leaving the bottom teeth crowded or twisted. Others experience bite problems, uneven wear, bad breath or difficulty cleaning between misaligned teeth. If you have been thinking about how to straighten your bottom teeth effectively and comfortably, a variety of orthodontic treatment options can gradually move your lower teeth into a desired position.
Understanding why lower teeth move and what treatments are available can help you make an informed decision that supports both your appearance and your oral health.
Why Bottom Teeth Become Crooked Over Time

Whatever the cause, misaligned teeth can affect oral hygiene by making brushing and flossing harder. Poor cleaning can contribute to plaque buildup, gum concerns and bad breath. This is why many people choose treatment sooner rather than later.
Treatment Options To Straighten Your Teeth
No single method works for every person. The most suitable treatment option depends on how severe the misalignment is, the shape of your jaw, the presence of other teeth and your long-term goals. A dentist can assess whether your lower teeth need comprehensive orthodontic treatment or a more targeted solution.
Here are the most common ways to straighten crooked teeth.
Traditional Braces For Lower Teeth
Traditional braces remain a reliable way to straighten bottom teeth, especially when teeth are severely rotated or when the bite needs correction. Traditional metal braces use brackets and wires to place gentle pressure on the lower teeth, helping them move to a healthier position over time. Traditional metal braces are custom-made and adjusted regularly to ensure gradual tooth movement.
Ceramic braces also work similarly, offering a tooth coloured appearance for those who prefer something less noticeable. Lingual braces sit behind the teeth, hidden from view, and can be an option for people wanting a discreet approach.
For complex cases involving bite problems or significant crowding, these options often provide the most predictable results for tooth alignment.
Clear Aligners For Straighter Bottom Teeth

These removable aligners allow you to eat, brush and floss normally, which supports good oral hygiene throughout treatment. Invisalign clear aligners are often recommended for mild to moderate misaligned teeth affecting the bottom teeth or top teeth. Treatment duration varies depending on how far the lower teeth need to move and whether both the top and bottom teeth are involved.
Dental Veneers For Minor Cosmetic Corrections
Dental veneers are sometimes used to improve the appearance of slightly crooked teeth. While veneers do not physically straighten teeth or address bite concerns, they can create the look of a straighter smile. They are mainly suitable when the misalignment is mild, and the goal is cosmetic enhancement. Veneers can be placed on upper teeth or lower teeth, depending on your needs.
Your dentist will determine whether this approach is appropriate or if orthodontic treatment would be more beneficial for your oral health.
Factors That Influence Your Treatment Choice
Choosing how to straighten bottom teeth depends on more than just how your smile looks. Different treatment options work better for different bite problems, levels of crowding and personal preferences. Understanding the factors that guide treatment can help you make a choice that suits your lifestyle, supports good oral health and moves your teeth toward the desired position comfortably.
Alignment Complexity
Some people need only minor adjustments, while others require more comprehensive teeth straightening. Severe crowding, a narrow jaw or missing teeth may mean traditional braces are a more effective option.
Commitment To Treatment
Clear aligners and removable aligners require consistent wear. If aligners are not worn for the recommended time each day, the teeth may not move as expected. Traditional metal braces and ceramic braces may be better if you prefer a fixed system.
Oral Hygiene Habits
Good oral hygiene plays a major role in successful treatment. Some people find removable aligners easier because they can maintain good oral health without navigating brackets and wires. Others feel comfortable cleaning around metal braces with extra care.
Lifestyle And Comfort
Invisalign treatment is often chosen for comfort and flexibility, while traditional metal braces remain a strong choice for complex cases. Lingual braces offer discretion but may take longer to get used to.
What To Expect During Treatment
Most orthodontic treatment plans begin with a full assessment by a dentist. Digital scans, X-rays, and a physical examination help determine how the lower teeth should move. A personalised treatment plan outlines the process, expected treatment duration and how your teeth will reach their desired position.
Throughout treatment, regular check-ups help track your progress. After your bottom teeth reach their new position, you will need to wear retainers to maintain your straighter smile. Retainers prevent the teeth from returning to their previous alignment.
Can You Straighten Just The Bottom Teeth?
In some cases, only the bottom teeth need correction. However, treating only the bottom row may affect how the top teeth meet the lower teeth. Your dentist will check your bite to ensure your final teeth alignment supports your long-term oral health and improves your overall smile.
Avoid DIY Braces And At-Home Quick Fixes
DIY braces or unregulated teeth straightening kits can harm your teeth, gums and jaw. They may cause tooth movement in the wrong direction, leading to further misalignment or permanent damage. Safe treatment always involves professional supervision.
Final Thoughts On Straightening Bottom Teeth

If you are considering options to straighten your teeth, contact Balmoral Dental Centre on (07) 3113 9789 to book an appointment and learn more about treatments that suit your needs.
References
Colgate-Palmolive Company. (2023, January 9). What is good oral hygiene? Colgate. https://www.colgate.com/en-us/oral-health/adult-oral-care/what-is-good-oral-hygiene (Colgate)
Cleveland Clinic. (2023, January 13). Teeth braces: Types & how they work. https://my.clevelandclinic.org/health/treatments/24601-teeth-braces (my.clevelandclinic.org)
Whelan, C. (2019, May 8). What causes crooked teeth and how to straighten them. Healthline. https://www.healthline.com/health/dental-and-oral-health/crooked-teeth

